血红蛋白偏高的原因 脸色红润不等于身体健康,更要提防肿瘤
血红蛋白偏高的原因 脸色红润不等于身体健康,更要提防肿瘤
2025年4月15~21日,是第26个全国肿瘤防治宣传周,主题为“癌症防治 共同行动”。日常生活中,普通人群缺乏专业知识,在身体出现警示时,没有起到足够的重视。本期光明网科普频道邀请复旦大学附属华山医院专家,谈谈容易 “忽略”的症状。
本期专家:复旦大学附属华山医院 曹国君 关明
本院体检中心曾接诊过一位体检患者——张阿伯,年龄62岁,退休职工,身体硬朗,面色红润,注重养生,每年都到医院进行体检。最近几年,体检时几乎所有指标均正常,血糖、血压、血脂水平均在正常参考范围内,唯独血常规检测的报告异常:红细胞(红血球)和血红蛋白的水平略高于正常水平,而且有逐年增高的趋势,体检医生建议张阿伯到医院进一步复查,张阿伯觉得自己身体状况很好,没有任何不适,红细胞和血红蛋白水平偏高,是因为近年来的生活水平提高、饮食营养过剩所致,没必要再去医院多花冤枉钱。
自今年年初开始,张阿伯经常出现头痛、头晕、易疲劳、过度出汗这些症状,皮肤、黏膜呈明显的暗红色,但并不严重,以为是年纪大了、身体日渐衰弱、过度劳累所致,休息一下就会没事了。前几天,张阿伯在小区内散步的时候突然摔倒,被好心邻居紧急送往医院救治,被诊断为脑中风,还好救治及时,否则张阿伯会有生命危险或瘫痪的风险。
医生对张阿伯的病情进行了详细的排查,最终通过骨髓病理学和分子生物学检查,确诊为真性红细胞增多症。真性红细胞增多症(PV),简称“真红”,是一种起源于造血干细胞的骨髓增殖性肿瘤(MPN)。主要表现为红细胞异常增多且不依赖正常红细胞生成调节机制为特征的骨髓增殖性肿瘤。
人的骨髓就像是一所育儿中心,从出生到长大成人,处于干细胞状态的幼稚红细胞、白细胞、血小板就好似婴儿一般在其中发育,成熟后的细胞将会释放到人体的外周血管中,执行其各自的功能。如果释放到外周血中的某些细胞的数量或者性质发生的变化,则会导致血液学的疾病。
真性红细胞增多症(PV)是一种不明原因的造血干细胞克隆性疾病,为骨增殖性肿瘤中的一种。PV在我国发病率约为(0.5-1.0)/10万,典型的临床特征包括:红系造血异常增生、红细胞和全血量增多、血液粘稠度增高、醉酒貌、脾肿大、血压高、易形成血栓,可伴有血小板和白细胞轻度增多,晚期可能并发骨髓纤维化或者转为急性的白血病。


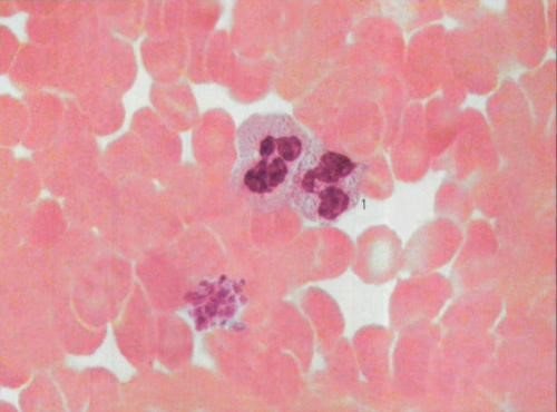
真性红细胞增多症患者外周血(上图)和骨髓象(下图)
骨髓增殖性肿瘤患者通常没有特异性的症状和体征,仅凭传统的检测方法难以完成骨髓增殖性肿瘤的诊断和鉴别。骨髓增殖性肿瘤最终的诊断依赖于骨髓穿刺病理检查的结果和分子生物学标志物检测的结果。骨髓穿刺后对样本进行染色和免疫标记,然后在显微镜下进行病理学检测,病理学检测是被公认为肿瘤诊断的金标准,但骨髓的病理检测高度依赖医生的经验,结果的判断存在一定的主观性,易发生漏诊或误诊。
分子生物学检测方法具有高灵敏度、高特异性等优势,新型分子标志物JKA2突变的发现为骨髓增殖性肿瘤的诊断带来了革命性的突破,基因突变分子生物学情况的检测对于不明原因高血细胞计数患者的初筛、明确诊断、预后和靶向治疗等均具有重要的指导意义。
医生提醒:如果患者被怀疑患有骨髓增殖性肿瘤,应及时选择有效的检测方法进行鉴别和诊断,早发现、早治疗,可以取得良好的治疗效果,有助于患者早日康复。
张阿伯经过一段时间的羟基脲和抗栓的对症治疗,身体状况恢复良好,各项检测指标基本正常,可以继续跟好友一起喝茶、聊天、下棋、散步了。所以老年朋友们,如果一直“脸色红润”并在医院检查出来红细胞增多,就要小心是否患上“真红细胞增多症”了。
标签:
